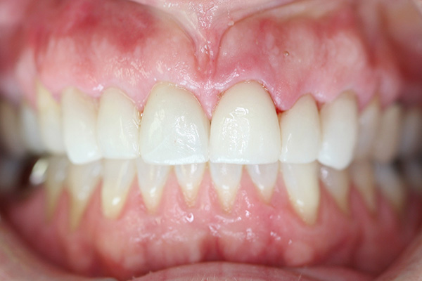
Before
After
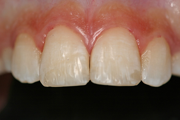
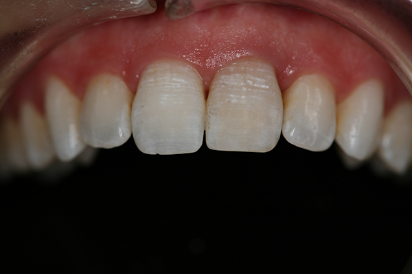
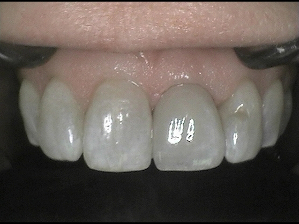
Removal of White Spots and Lines
Removal of undesirable white characterization
Before
After
Cosmetic Bonding and Tooth Replacement
Composite Bonding of malformed and undersized teeth and replacement of congentially missing tooth with temporary bonded bridge.
Before
After
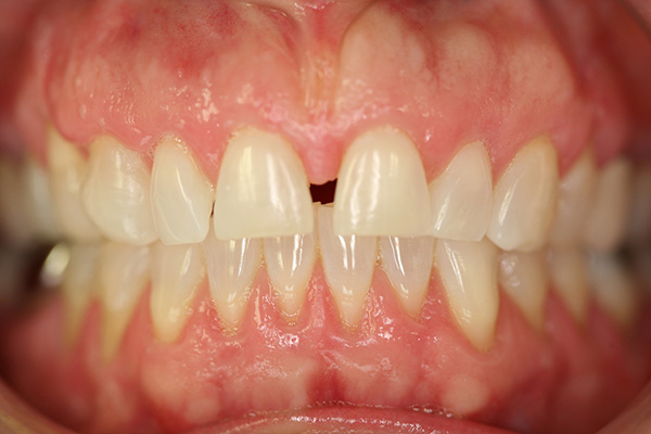
Whitening and Porcelain Veneers to close a diastema
Tooth whitening followed by anterior veneer placement to close space and improve esthetics
Before
After
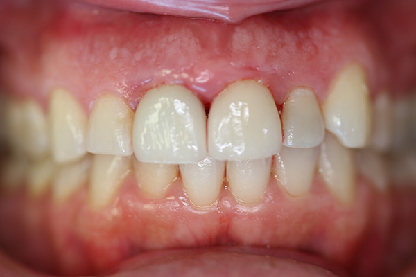
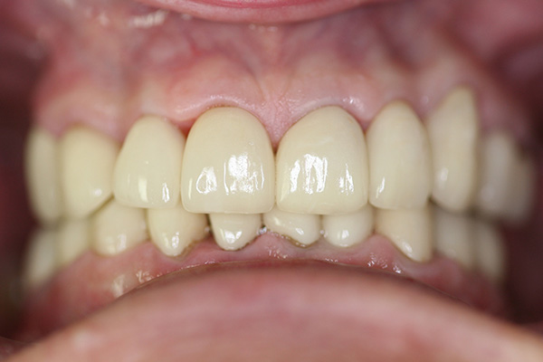
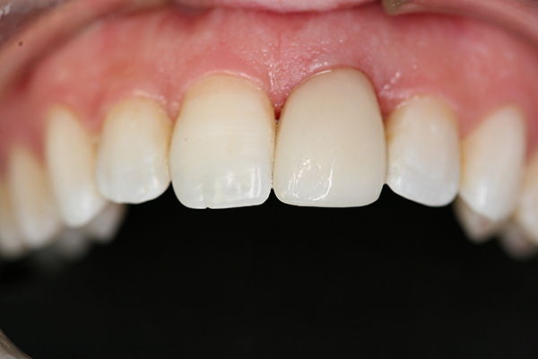
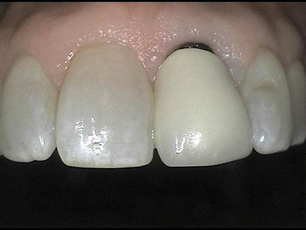
Replacement of Unesthetic Crowns
Replacement of crowns with improved shade match
Before
After
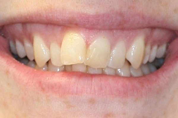
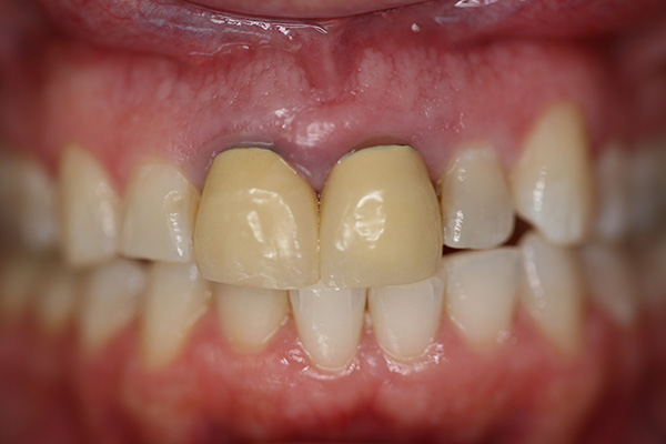
Esthetic Crown Replacement
Replacement of an old crown with challenging shade and characterization match
Before
After
Full Mouth Recontruction
Full mouth reconstruction of teeth from a patient with a extensive wear from a grinding habit
Before
After
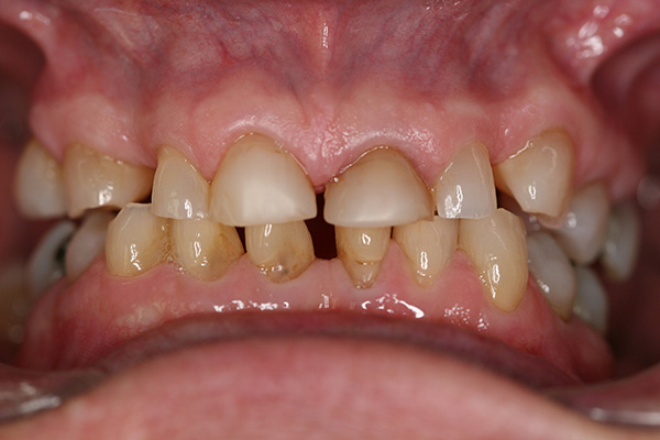
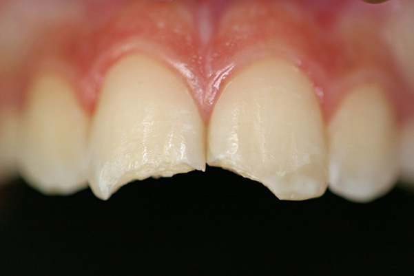
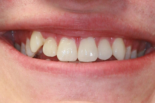
Composite Bonding
Esthetic bonding of fractured teeth with characterization
Before
After
Orthodontic Treatment with Clear Aligners
Orthodontic treatment using clear aligners
Before
After
Orthodontic Treatment
Orthodontic treatment to correct malalignment and crowding
Before
After
Orthodontic Treatment
Orthodontic treatment of an adult patient with severe crowding
Before
After
Orthodontic Arch Form Correction
Orthodontic treatment with palatal expansion to Correct arch form